관절 비수술

발·발목 통증 질환들도
한의학·의학의 통합적 치료

발목 염좌, 발목 불안정증, 족저근막염, 아킬레스건염, 발목관절염 등
발과 발목 통증질환들도 의학·한의학의 통합적 치료로 호전됩니다.

비수술적으로 치료되는
주요 발·발목 질환

발목 염좌 · 불안정증

  • ·

    발목을 삐끗하는 염좌로 인한 인대 손상으로 통증, 부종,
    보행장애 발생

  • ·

    발목염좌 후 인대가 늘어지면서 발목 불안정증으로 자주
    접지르게 되고 연골 손상의 발목 관절염으로 악화됩니다.

족저근막염

  • ·

    발바닥 근막의 손상으로 특히 아침에 첫발을 디딜 때 심한 통증,
    주로 발바닥과 뒤꿈치 통증 발생

  • ·

    과체중, 딱딱한 바닥의 신발 착용, 평발이나 요족 같은 구조적
    문제 등에 의해 발생

아킬레스건염

  • ·

    발뒤꿈치 위쪽 힘줄(아킬레스건)의 염증으로 통증과 붓기 발생

  • ·

    과격한 운동, 과도한 달리기 등에 의해 발생

발목관절염

  • ·

    노화, 과도한 체중 부하, 외상, 만성 발목불안정증 등에 의해 발목관절의 연골이 손상되면서 관절염 진행

  • ·

    지속적 통증과 보행장애, 무릎 · 골반 · 척추 등에 연쇄적 악영향

발·발목 통증의
근본적 치료의 중요성

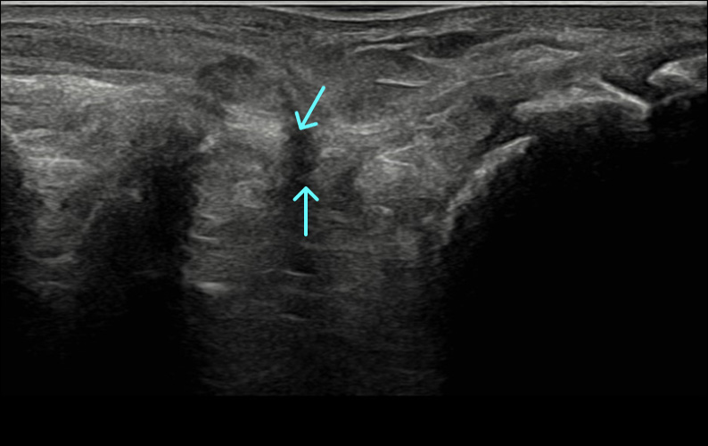
발목을 삐끗하면서 심한 통증으로 내원한 60대 환자.
엑스레이 영상에서 골절 소견은 없으나 초음파검사에서
인대 부분 파열 진단돼 하이펑쳐 주사 치료

  • 발과 발목 관절을 구성하는 인대, 근육, 족저근막, 힘줄,
    뼈 등 세부 조직의 염증, 손상의 정도와 유발 요인에 대한
    의학과 한의학의 통합적 진단 하에 맞춤치료

  • 요추질환의 방사통에 의한 발 저림,
    감각이상도 의학 · 한의학의 통합적 치료

  • 혈액순환장애나 과체중, 체형 불균형에 의한
    발 통증도 근본적 치료 도모

  • 일시적 통증 완화 효과에 머무는 약물이나 주사는
    재발률이 높고 반복 시행시 병변의 악화,
    부작용 위험이 있어 주의!

발·발목 통증의 한의학적 치료에 대한
참조 논문

출처 | 만성 족관절 염좌에 자하거 약침을 병행한 한방 치료로 호전된 2례 보고

  • (이동은, 박원형, 차윤엽. 한방재활의학과학회지 2016 / 26권 / 3호)

출처 | 족저근막염 통증에 침술 치료 4~8주 후 유의미한 통증 감소 확인 논문

  • (‘How effective is acupuncture for reducing pain due to plantar fasciitis?’
    Anandan Gerard Thiagarajah 등. Singapore Medical Journal, 2017)

근본적 치유 지향의
의학·한의학 치료들

01
손상된 조직 재생, 항염증, 기능 활성화 효과

하이펑쳐 주사

  • ·

    조직재생 유도 물질로 잘 알려진 PDRN과
    자하거(태반)를 환자별 맞춤 배합하여 초음파를 보며
    발·발목 통증 병변에 주입

02
어혈 제거, 혈류 개선, 항염증, 통증 개선 효과

약침 / 한약

  • ·

    세포 재생, 항염증, 통증 개선 등의 효과가 우수한 한약재에서
    추출한 약물을 통증 병변에 주입

  • ·

    어혈, 혈류장애, 통증 및 저림증 개선, 항염증, 근육 긴장 완화 등의
    효과별 한약재들을 개인별 맞춤 처방

03
발, 발목 관절에서 척추까지의 교정, 재발 억제 효과

추나치료 / 도수치료

  • ·

    경험 많은 한의사가 수기로, 척추, 골반, 다리, 발에 이르기까지
    연결부위의 교정, 근육·인대 이완, 기혈 순환, 통증 개선

  • ·

    도수치료 경험 많은 물리치료사가 수기나 도구를 이용해 척추에서
    다리, 발까지 교정, 족부 통증 치료

04
발· 발목 관절의 기혈순환 장애와 염증, 유착 제거

도침 / 봉침 / 경혈침 치료

  • ·

    침끝이 칼날 같은 도침을 사용하여 심한 염증으로 유착된
    조직을 박리하고 심부 어혈 제거

  • ·

    기혈순환이 막힌 통증 부위를 경혈침으로 치료

  • ·

    항염증과 조직 재생을 위한 약침 및 봉침 치료

05
혈류 순환과 통증 개선 효과의

의학·한의학 물리치료

  • ·

    고주파, 체외충격파, 자기장, 전기침, 크라이오, 온열치료 등
    각종 장비를 활용하여 혈류 및 근육 긴장 개선, 통증 완화,
    신체 기능 회복 도모

  • ·

    부항, 뜸, 한방물리치료 등을 병행, 또는 선별 적용하여
    통증 완화와 회복 도모

계양다나음 TV

쉽고 유익한
진료·건강정보 영상

계양다나음한방병원장이 직접 설명 드립니다.

View More +

골절 수술 후 뼈가 잘 붙지 않는다고?? 골절 회복을 돕는 한방 치료방법 대공개

허리수술후 계속되는 다리저림, 어떻게 해결해야 하나요?

무릎 인공관절 수술 후 재활운동과 한방치료법

어깨 수술 후 집에서 할 수 있는 재활운동 이것만 조심하면 회복이 빠릅니다!

허리디스크 수술만 했다고 끝이 아니다! 디스크 수술 환자에게 꼭 필요한 재활운동 3가지

진료시간
대표번호0507-1436-7976
  • 평일(월~금)

    AM 9:00 ~ PM 8:00 (야간진료)

  • 주말/공휴일

    AM 9:00 ~ PM 3:30

  • 점심시간

    PM 12:30 ~ PM 1:30

평일 야간진료

OK

365일 연중무휴

OK
오시는 길
인천광역시 계양구 경명대로1134, 2~5F
주차안내

CN웨딩홀인천광역시 계양구 경명대로 1108
평일 최대 3시간30분 주차 가능

명륜진사갈비 옆 아이파킹 주차장 계산동 918-18
최대 2시간 주차가능

명륜진사갈비 옆 아이파킹주차장 - 계산동 918-18 ( 최대2시간 ) 평일, 주말, 공휴일 사용 가능 / CN천년부페웨딩홀 주차장 - 경명대로 1180 ( 최대 3시간 30분 ) 평일 사용가능 ( 주말, 공휴일 불가 )

예약정보를 남겨주시면
최대한 빠른 시간에 연락드리겠습니다.